Drs. Chen and Kim
Dr. Lawrence Chen and Dr. Alice Kim

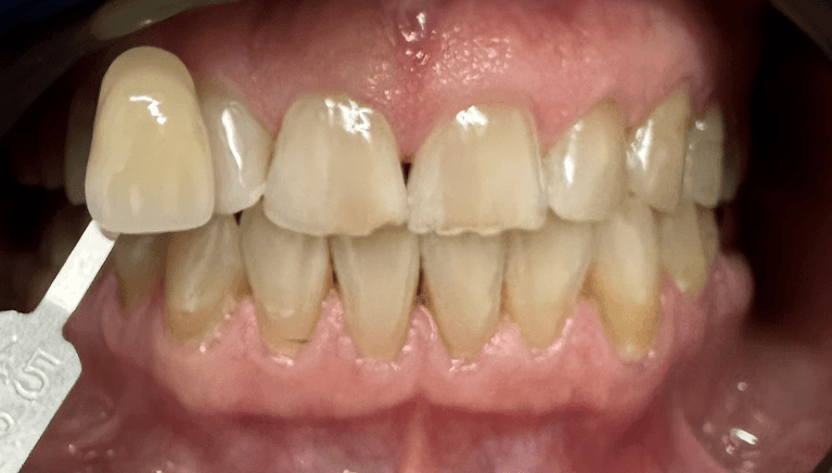
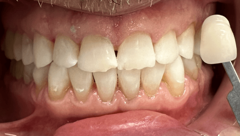
Smile Gallery: KöR Teeth Whitening

Do you have a vision for your dream smile? Maybe it involves getting some new fillings or investing in a cosmetic dentistry makeover. Whatever the case, we can help you achieve your goals. Please browse through our smile gallery of results we've created for actual patients, then call us to see how we can help you!

Ready to book an appointment?
Highly Recommended—and Now We Know Why.

It took us a while to find a good dentist in Baltimore. I can see why Dr. Chen and Associates were so highly recommended. We love Dr. Kim, the techs are all super friendly, and front desk staff are always very helpful and pleasant!

- Kindel

If you have difficulty using our website, please email us or call us at (410) 235-8525
View the ADA Accessibility Statement