Drs. Chen and Kim
Dr. Lawrence Chen and Dr. Alice Kim

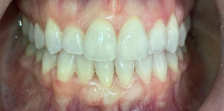
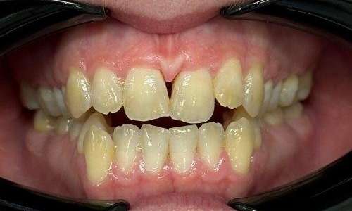
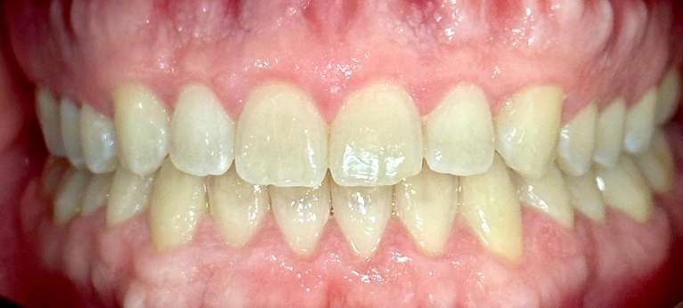
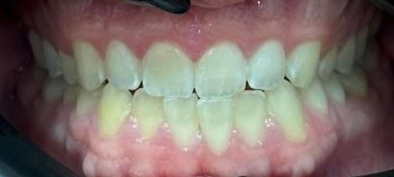
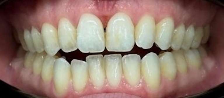
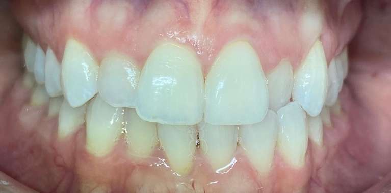
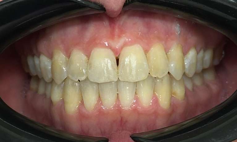
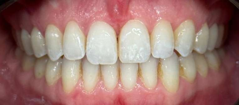
Smile Gallery

Do you have a vision for your dream smile? Maybe it involves getting some new fillings or investing in a cosmetic dentistry makeover. Whatever the case, we can help you achieve your goals. Please browse through our smile gallery of results we've created for actual patients, then call us to see how we can help you!

Ready to book an appointment?
Exceptional Care and Comfort with Dr. Chen.

I’ve been a patient of Dr. Chen for quite some time, and I can honestly say he is hands down the best dentist I’ve ever had. From the moment you step into the office, you're greeted by a friendly and welcoming team that makes you feel comfortable right away. The office is always clean, modern, and well-equipped, making every visit a pleasant experience.
Dr. Chen is incredibly skilled, thorough, and truly cares about the well-being of his patients. He takes the time to explain procedures and answer any questions you might have, which instantly puts you at ease. His gentle touch makes even the most complex treatments feel painless, and I never feel rushed during my appointments. I’ve had everything from routine cleanings to fillings, and every experience has been top-notch.
What I appreciate most is the personalized care I receive—Dr. Chen always goes above and beyond to ensure my dental health is in great shape. It’s clear that they keep up with the latest advancements in dentistry and always recommend the best options for my needs.
If you’re looking for a dentist who is not only professional and knowledgeable but also genuinely cares about your comfort and long-term health, I highly recommend Dr. Chen. I couldn’t be happier with the care I’ve received!

- Bert

If you have difficulty using our website, please email us or call us at (410) 235-8525
View the ADA Accessibility Statement