Drs. Chen and Kim
Dr. Lawrence Chen and Dr. Alice Kim
Home
About
Our Team
Dr. Alice Kim
Dr. Lawrence Chen
Dr. Melissa Anderson
Technology
Practice Photos
Services
View All
Family Dentistry
Emergency Dentistry
Cosmetic Dentistry
Crowns and Bridges
TMJ/Bruxism Treatment
Invisalign® Clear Aligners
KöR Teeth Whitening
Dental Implants
Traditional Braces
Laser Dentistry
Smile Gallery
Patient Info
View Patient Info
Testimonials
Forms
In-Office Membership Plan
Financial
FAQs
Contact
Drs. Chen and Kim
Dr. Lawrence Chen and Dr. Alice Kim
Request an Appointment
Leave a Google Review
(410) 235-8525
General and Aesthetic Dentistry
Schedule an Appointment
Drs. Chen and Kim
>
Smile Gallery
>
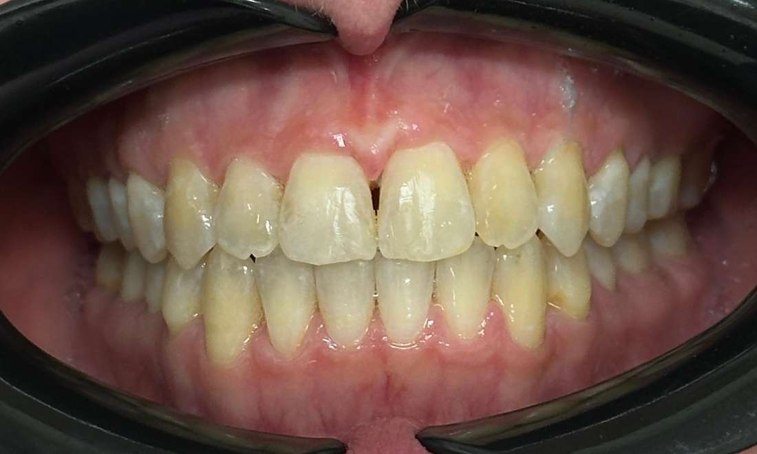
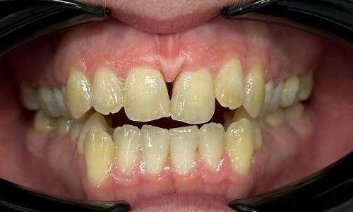
Invisalign
Invisalign
Return to Smile Gallery
Next
Drag the arrows back and forth to view complete Before and After views
Ready to book an appointment?
Contact Us
If you have difficulty using our website, please
email us
or call us at
(410) 235-8525
View the
ADA Accessibility Statement
Turn on ADA Views
OK!
×
×
Contact Us Today
Give Us A Call
Drs. Chen and Kim -
(410) 235-8525
Send Us an Email
Book Online
Contact Us
Ready to Schedule an Appointment?
Book Online
Have Questions? Contact Us:
Required Field
Your Name:
Phone:
Email:
Are you a new patient?:
Are you a?
New Patient
Current Patient
How would you like us to contact you?
Please choose
Email
Call
How did you hear about us?
Please choose
I'm an existing patient
Google/Bing
Mailer
Word of mouth
Social media
Other
Who Referred You?:
Appointment Preferences
Monday
Tuesday
Wednesday
Thursday
Friday
Your Message:
This site is protected by reCAPTCHA and the Google
Privacy Policy
and
Terms of Service
apply.
Sending...
×
This Patient's Experience
Loading Testimonial...
Loading Case...