Drs. Chen and Kim
Dr. Lawrence Chen and Dr. Alice Kim

Invisalign

Treatment time: 9 months

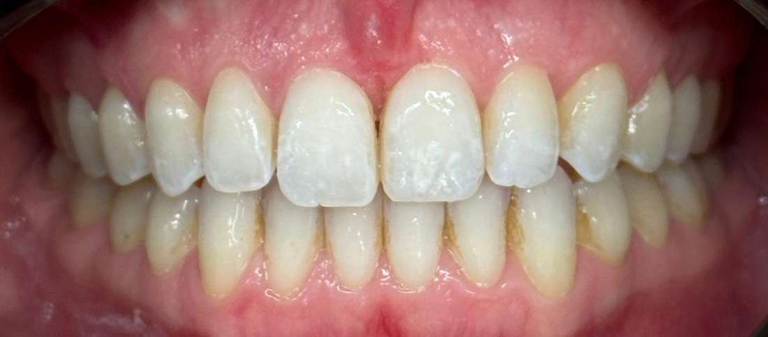
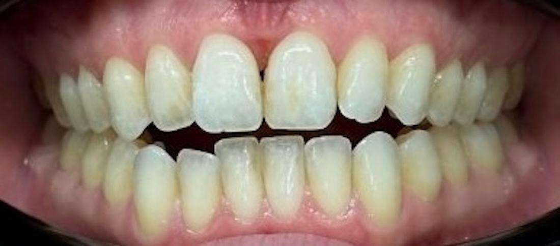
Chief Complaint: Crowded teeth, anterior open bite. Difficult biting certain types of food

Treatment: Teeth were aligned, anterior open bite was closed. The patient reported that she is now able to bite into a thin slice of pizza! 

Ready to book an appointment?
If you have difficulty using our website, please email us or call us at (410) 235-8525
View the ADA Accessibility Statement